
Thạc sĩ, bác sĩ Nguyễn Tuấn Lâm, Tổ chức Y tế thế giới tại Việt Nam, cung cấp nhiều thông tin cho thấy tác hại của thuốc lá điện tử đối với phổi.
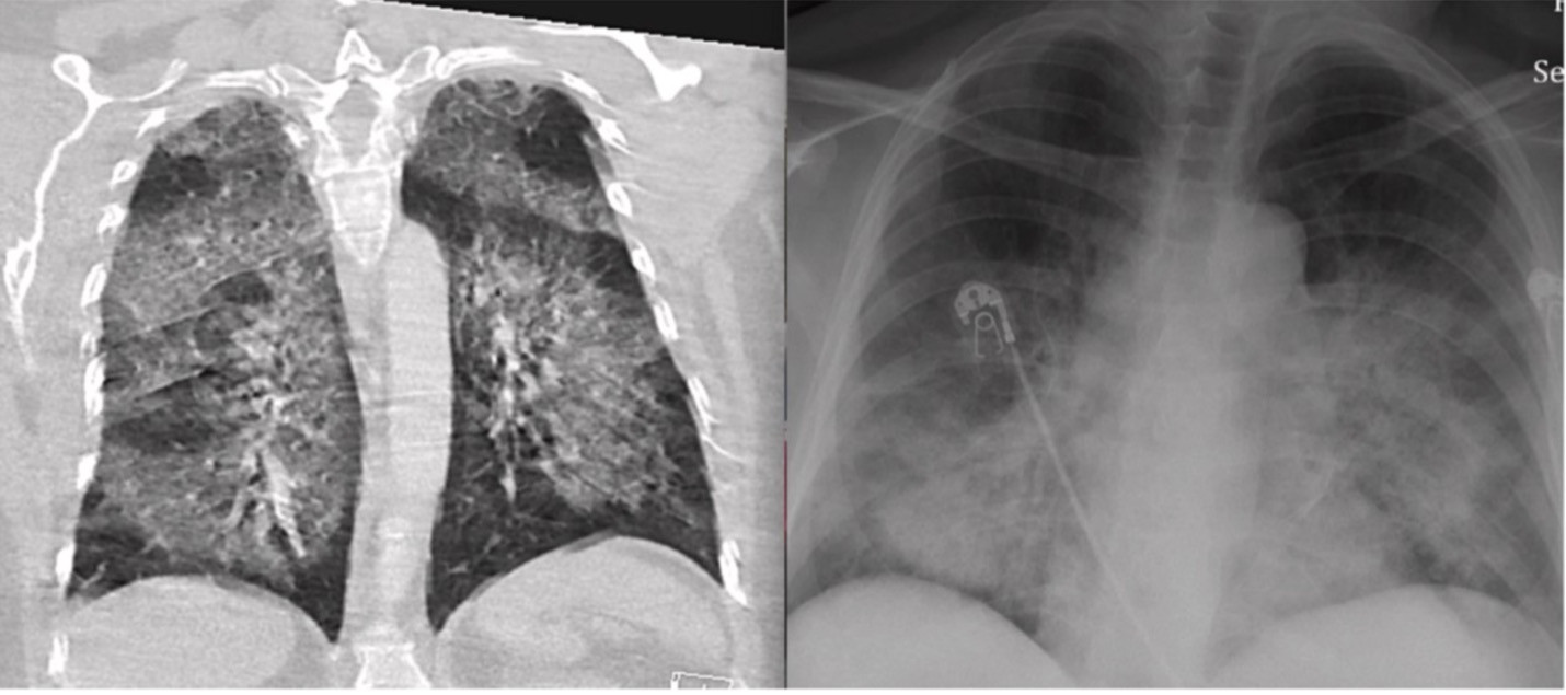
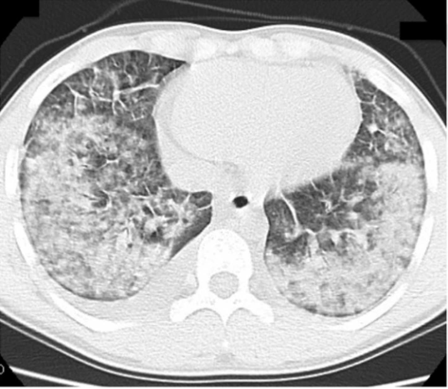
Thứ nhất, thuốc lá điện tử gây tổn thương nhu mô phổi. Hình ảnh kính mờ lan tỏa nền phổi 2 bên, là biểu hiện kinh điển trong bệnh lý này. Các tác nhân có trong thuốc lá điện tử tác động trực tiếp lên phổi, gây ra tổn thương phổi cấp tính đã được ghi nhận là hình ảnh phổ biến nhất trong mô bệnh học.

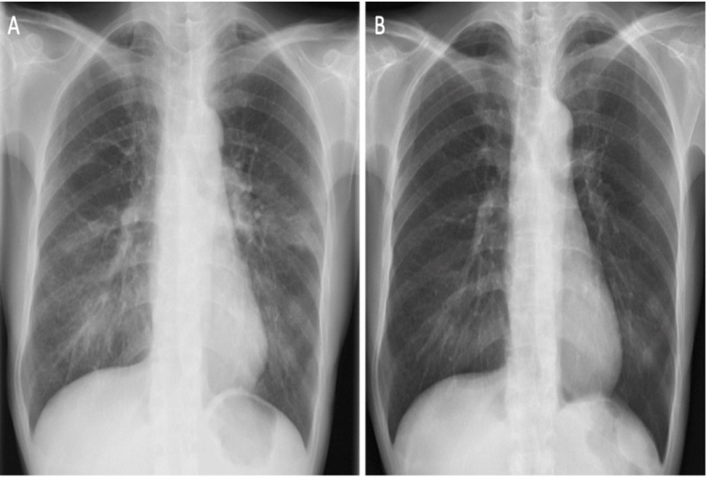
Thứ hai, thuốc lá nung nóng liên quan đến các ca viêm phổi tăng BCAT cấp tính. Bác sĩ Lâm dẫn chứng một ca bệnh là phụ nữ 47 tuổi bị viêm phổi tăng bạch cầu ái toan cấp tính, sau khi chuyển từ hút thuốc lá truyền thống sang sử dụng thuốc lá nung nóng. Bởi các triệu chứng hô hấp ho, sốt nhẹ và các bất thường trên X-quang phổi xảy ra ngay sau khi chuyển đổi thói quen hút thuốc. Tình trạng bệnh nhân được cải thiện sau khi ngừng sử dụng thuốc lá nung nóng và được điều trị bằng corticosteroid.

Thứ 3, thuốc lá nung nóng gây viêm phổi tăng bạch cầu ái toan cấp tính. Về mối nguy hiểm này, bác sĩ Lâm đưa ra một trường hợp thanh niên 16 tuổi bị viêm phổi tăng bạch cầu cấp tính mức độ nặng sau sử dụng thuốc lá nung nóng 2 tuần, với triệu chứng khó thở nặng dần. Bệnh nhân được chuyển đến khoa cấp cứu và được đặt nội khí quản, thở máy, chạy ECMO do suy hô hấp nặng.

Đồng quan điểm, theo bác sĩ Nguyễn Trung Nguyên, Giám đốc Trung tâm Chống độc, Bệnh viện Bạch Mai (Hà Nội), việc sử dụng thuốc lá điện tử làm tăng tính phản ứng đường hô hấp, tăng sức cản đường thở, gây viêm và tắc nghẽn đường thở. Sản phẩm này còn làm khởi phát hen, gây COPD, viêm phế quản mạn, thậm chí giảm khả năng đề kháng của đường hô hấp với vi trùng, tăng nguy cơ mắc ung thư đường hô hấp.
Bác sĩ này dẫn chứng 10 nghiên cứu cắt ngang với 483.948 học sinh cấp 2-3 ở nhiều nước cho thấy tỷ lệ sử dụng thuốc lá điện tử là 11,2%. Thói quen này làm tăng khả năng mắc hen ở cả người đã từng dùng và đang sử dụng.

Đặc biệt, thuốc lá điện tử còn là liên quan một đợt bùng phát bệnh lý mới ở Mỹ khiến nhiều người bị tổn thương phổi. Căn bệnh này được gọi là EVALI (tổn thương phổi cấp liên quan thuốc lá điện tử). Dịch bùng phát mạnh vào tháng 8/2019 và đạt đỉnh vào tháng 9/2019. Tới 18/2/2020, 2807 ca mắc căn bệnh này trên toàn nước Mỹ, 68 ca tử vong được khẳng định có liên quan.
Triệu chứng của bệnh là khó thở, ho, đau ngực, tiêu chảy, đau bụng, sốt, mệt, xuất hiện hàng giờ, hàng tuần trước khi nhập viện, đồng thời, máu lắng tăng, CRP tăng, bach cầu tăng, GOT/GPT tăng, phim chụp X-quang cho thấy có tổn thương phổi.
Xét nghiệm dung dịch hút và dịch đường hô hấp các bệnh nhân, các bác sĩ phát hiện vitamin E acetate. Chất này nung nóng trong thuốc lá điện tử tạo thành khí ketene độc. Khi thử nghiệm trên động vật, các nhà khoa học phát hiện chúng gây tổn thương giống ở người.
Ngoài các mối nguy hiểm đối với phổi nói riêng và cơ thể nói chung, bác sĩ Lâm cảnh báo các thiết bị trong thuốc lá điện tử có thể hỏng, lỗi và gây nổ từ đó dẫn đến các chấn thương nghiêm trọng ở miệng, mặt, cổ, mắt, mũi, xương hàm. Ước tính có 2035 ca cấp cứu ở Mỹ giai đoạn 2015-2017 do nổ pin thuốc lá điện tử.
Lan Anh
