
Thoát khỏi nguy kịch nhờ chiếc máy tạo nhịp nhỏ như viên thuốc
Ông Nguyễn Văn Nghĩa (88 tuổi, quê Đồng Nai) mắc chứng rối loạn nhịp tim chậm, thường cảm thấy xây xẩm mặt mày, khó thở, đi không vững, và đôi lần bị ngất. Bệnh nhân đã có nhiều lần tái khám ghi nhận nhịp tim chậm và triệu chứng cơn nhịp chậm xuất hiện từng lúc.
Khi tình trạng bệnh ngày một trầm trọng, gia đình đưa ông tới bệnh viện FV. Qua thăm khám, BS. Hoàng Quang Minh - Chuyên khoa Tim Mạch, Bệnh viện FV nhận thấy bệnh nhân bị hai bệnh lý về tim cùng lúc là hội chứng suy nút xoang có triệu chứng và bệnh lý block nhĩ thất độ 2, gây ra tình trạng nhịp tim chậm, có thể nguy hiểm cho tính mạng nếu không được điều trị kịp thời.
Để điều trị rối loạn nhịp tim, thông thường người bệnh được đặt máy tạo nhịp tim có dây - là một thiết bị nhỏ, được cấy dưới da ở vùng ngực trên, với dây dẫn vào tim, với chức năng điều chỉnh nhịp tim khi cần thiết. Thiết bị này có thể hỗ trợ hoạt động của buồng tim từ 10 năm trở lên. Tuy nhiên, bệnh nhân Nguyễn Văn Nghĩa tuổi đã cao, thường xuyên bị trầy da do gãi, đồng thời ông mang hậu môn nhân tạo. Người nhà lo ngại ông không giữ được vệ sinh cho vết mổ đặt máy tạo nhịp tim có dây, nên mong muốn bác sĩ đưa ra phương pháp điều trị phù hợp hơn cho ông.
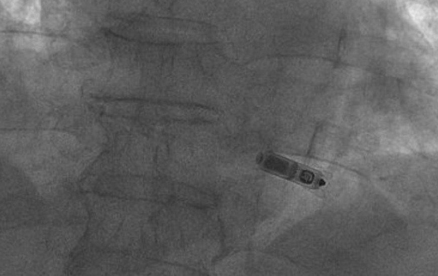
Các bác sĩ Chuyên khoa Tim Mạch, Bệnh viện FV quyết định đặt máy tạo nhịp tim không dây cho ông Nghĩa. Đây là một thiết bị chỉ nhỏ như viên thuốc con nhộng (bằng 1/10 máy tạo nhịp có dây), được đưa trực tiếp vào buồng tim của bệnh nhân mà không cần tới dây dẫn.
Theo đại diện bệnh viện FV, ca phẫu thuật kéo dài 30 phút. Bệnh nhân được gây tê, máy tạo nhịp được đưa vào buồng tim bằng một ống thông từ tĩnh mạch đùi. Bệnh nhân đã hồi phục nhanh vào ngày sau đó. Đối với máy tạo nhịp có dây, bệnh nhân cần tránh vận động trong thời gian mới cấy máy ít nhất 4 tuần để giảm nguy cơ chảy máu túi máy tạo nhịp. Trong khi đó, khi đặt máy tạo nhịp không dây thì ông Nghĩa có thể sinh hoạt và tự thực hiện các hoạt động cá nhân thường ngày. Lần tái khám gần đây, ông khỏe mạnh, các chỉ số nhịp tim đều đạt yêu cầu.

Theo BS. Minh, có 2 loại máy tạo nhịp không dây: loại cấy chỉ tạo nhịp buồng thất (P) và loại tối ưu hơn có thể tạo nhịp buồng thất (P) đồng thời nhận cảm được hoạt động cùa buồng nhĩ nên có thể đạt được sự đồng bộ giữa buồng nhĩ và buồng thất.
Máy tạo nhịp tim không dây được chỉ định cho các trường hợp nào?
Thiết bị tạo nhịp tim không dây ra đời từ năm 2016 giúp giải quyết được những hạn chế của máy tạo nhịp tim có dây trước đây như: nguy cơ cao nhiễm trùng túi máy, ngứa vết sẹo sau phẫu thuật; các bệnh nhân lớn tuổi hoặc bệnh nhân bị lẫn có thể gãi không kiểm soát, dễ dẫn tới nguy cơ trầy da, khiến máy bị lòi ra ngoài, gây nhiễm trùng, đặc biệt máy tạo nhịp tim có dây không thực hiện được ở người bị tắc mạch máu dưới xương đòn, hoặc cần dùng mạch máu này để chạy thận ở các bệnh nhân suy thận giai đoạn nặng.
Máy tạo nhịp tim không dây ít biến chứng, tính thẩm mỹ cao, hạn chế được nguy cơ nhiễm trùng, không cần dùng tới mạch máu dưới xương đòn. Tuổi thọ máy hơn 10 năm.

Theo BS. Minh, đặt máy tạo nhịp tim không dây là kỹ thuật cao, cần được thực hiện ở bệnh viện có phòng Cathlab hiện đại, đội ngũ chuyên nghiệp, có kinh nghiệm thực hành về máy tạo nhịp không dây. Bản thân BS. Minh đã tham dự nhiều hội nghị về máy tạo nhịp tim không dây, được cấp Chứng nhận đặt máy, Chứng nhận kỹ thuật, Chứng nhận theo dõi, và Chứng nhận chăm sóc bệnh nhân sau khi đặt máy.

Bệnh nhân có BHYT được hỗ trợ viện phí khi điều trị can thiệp tim mạch tại FV
Để giảm gánh nặng tài chính cho các bệnh nhân điều trị can thiệp tim mạch, Bệnh viện FV đã kết hợp cùng Bảo hiểm Xã hội TP.HCM mở rộng phạm vi áp dụng khám chữa bệnh bằng Bảo hiểm y tế (BHYT) nhà nước cho các dịch vụ điều trị kỹ thuật cao tại Trung Tâm Can Thiệp Tim - Mạch FV như: Chụp, nong và đặt stent động mạch vành, động mạch mạc treo, động mạch thận, chụp mạch số hóa xóa nền (DSA), thăm dò điện sinh lý và điều trị rối loạn nhịp tim bằng sóng cao tần thông thường, đặt máy, thay máy và cập nhật máy tạo nhịp vĩnh viễn, máy phá rung (ICD) và máy tái đồng bộ cơ tim (CRT), các thủ thuật khác theo danh mục kỹ thuật được phê duyệt bởi BHXH.
Theo đó, bệnh nhân có thể được BHXH chi trả lên đến 45% các chi phí điều trị tại bệnh viện FV theo quy định của BHXH, bao gồm các chi phí phẫu thuật và vật tư cấy ghép, thiết bị y tế và vật tư tiêu hao.
Đồng thời, bệnh nhân có thể áp dụng song song các loại hình bảo hiểm sức khỏe bao gồm BHYT nhà nước, BHYT tư nhân hay BHYT quốc tế.
Đại diện bệnh viện FV khẳng định, chuyên khoa Tim Mạch Bệnh viện FV trang bị phòng Cathlab đa chức năng, cùng đội ngũ y bác sĩ dày dạn kinh nghiệm, liên tục cập nhật các phương pháp điều trị tiên tiến, mang lại cơ hội chữa khỏi cho các bệnh nhân tim.
Yến Lê